「噛むと響くように痛い」「何度か治療しているのに、同じ歯がまたズキズキする」――こうした症状がある場合、歯の神経まで虫歯や炎症が進行しており、「根管治療(こんかんちりょう)」が必要になることがあります。
根管治療は、歯を抜かずに残すための、とても大切な治療です。一方で、処置が細かく時間もかかるため、「本当に必要なのか?」「失敗したらどうなるのか?」と不安を感じる方も少なくありません。
なかお歯科医院は、東京都大田区下丸子(東急多摩川線・下丸子駅徒歩1分)にある歯科医院として、歯科用CTやマイクロスコープ、ニッケルチタンファイルなどを活用した、基本に忠実で丁寧な根管治療に取り組んでいます。
このページでは、
根管治療とはどのような治療か
・どんな症状のときに必要になるのか
・なかお歯科医院の根管治療の特徴
・実際の治療の流れや、治療後に大切なこと
などを、できるだけ専門用語を避けながらお伝えします。
大田区で根管治療の歯科医院をお探しの方は、ぜひ最後までご覧ください。
なぜ、歯を残すために「根管治療」が重要なのか

虫歯が初期のうちは、歯の表面のエナメル質や象牙質の範囲で治療が完結します。しかし、放置して進行してしまうと、やがて歯の中心部にある「神経(歯髄)」にまで菌が到達し、激しい痛みや腫れを引き起こすことがあります。
慢性的に虫歯が進行している場合は痛みなく神経まで虫歯が進行して根の先が膿んでしまう場合もあります。そのため痛みだけが判断材料になるとは限りません。
この段階で歯を助ける手段が「根管治療」です。
根管治療では、感染した神経や血管をしっかり取り除き、歯の根の中をきれいに洗浄・消毒・封鎖することで、歯を保存することを目指します。

適切に根管治療が行われると、
・抜歯を避けられる可能性が高まる
・もともとの歯根を土台にして被せ物ができる
・入れ歯やインプラントなど、より大がかりな治療を避けられる場合がある
といったメリットが期待できます。
一方で、根管治療は肉眼では見えない細い管の中の処置となるため、精密さと丁寧さがとても重要です。なかお歯科医院では「基本に忠実な根管治療」を大切にしながら、先進機器を組み合わせて、歯を長く保つための治療に取り組んでいます。
根管治療とは
歯の内部にある「根管」と呼ばれる部分を治療する処置です。この部分には、歯の神経や血管が通っており、虫歯や外的な感染が進行すると、この部分が炎症を起こすことがあります。根管治療は、感染した神経や組織を取り除き、根管内を清掃・消毒してから、空間を充填することで歯を保存することを目的としています。根管治療を行うことで、歯を保存できる可能性が高まり、抜歯を避けることができます。治療が適切に行われれば、歯の機能を長期間保つことができます。
当院では、基本に忠実な「根管治療(歯の神経の治療)」を提供しています。
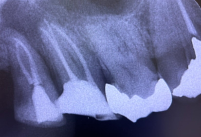
虫歯が進行すると、歯の神経(歯髄)にまで感染が広がります。この段階では、感染した神経を取り除き、根管(神経が通る管)を丁寧に清掃してから被せ物を施す治療が必要です。「根管内を徹底的に清掃する作業」は非常に難しく、慎重な処置が求められます。根管は複雑に分岐しており、清掃が不十分だと「痛み」や「腫れ」などの症状を引き起こし、最終的に「根尖病巣」と呼ばれる病気に繋がることもあります。下の画像の「黒い部分」は、神経が入っている根管であり、この部分をすべてしっかりと清掃しなければなりません。
なかお歯科医院の根管治療の特徴
大田区・下丸子で、歯をできるだけ残すために
歯科用CTによる治療精度の向上と時間短縮
歯科用CTを導入することで、治療準備や経過確認の時間を大幅に短縮でき、複雑な根管形態や再治療の場合でも、少ない回数での治療で完了することが多くなります。CTは精密な断面画像を提供し、根管の形状や位置を正確に把握することができます。これにより、治療の精度が大幅に向上し、難治性の症例にも効果的に対応できるようになります。さらに、再発リスクを減らすことができ、患者様の歯を長期間保存する可能性が高まります。
また通常のレントゲンでは把握できない顎や歯の形状、血管、神経の経路を、三次元データとして撮影し、コンピューター上で立体的に再現することができるため、目視では確認できない根管の穴や根の曲がり具合などを正確に把握することができ、治療の根本的な原因を明確に特定することが可能になります。
マイクロスコープ・拡大鏡による精密治療
根管は非常に複雑で細い形状をしており、肉眼では細部まで確認することが難しいため、当院では治療に「マイクロスコープ」「拡大鏡」を使用しています。このマイクロスコープは最大20倍まで拡大でき、患部を細かく視認しながら治療を行うことができます。これにより、汚染部位を見逃すことなく取り除き、歯質の削り過ぎを防ぐことができます。また、治療の精度が向上するため、治療時間を短縮することができ、患者様の負担軽減にもつながります。
ニッケルチタンファイルを使用した感染部位の除去

根管治療の成功率を高めるために、当院では「ニッケルチタンファイル」を使用しています。神経組織を取り除くためには、「ファイル」と呼ばれる器具を使用します。一般的な根管治療では、ステンレス製のファイルが用いられますが、ステンレス製ファイルは硬いため、曲がりくねった根管にはうまくフィットせず、十分に神経組織を取り除けないことがあります。
その点、大田区下丸子のなかお歯科医院では、柔軟性に優れた「ニッケルチタンファイル」を使用することで、曲がった根管にも適応しやすく、感染部位を効率よく除去できます。
痛みに配慮した麻酔と、わかりやすい説明
根管治療に対して「痛い治療」というイメージをお持ちの方は少なくありません。
なかお歯科医院では、電動麻酔器や表面麻酔を組み合わせ、麻酔時のチクッとした痛みもできるだけ抑えられるよう配慮しています。
また、治療の前にはお口の中の写真やレントゲン、CT画像、アニメーションなどを用いて、現在の状態や治療内容を丁寧にご説明します。「何をされているのかわからなくて不安」という状況にならないよう、その都度声かけをしながら進めることを心がけています。
院長が一貫して診療を担当

なかお歯科医院では、初診から根管治療、被せ物の装着、治療後のメンテナンスまで、院長・中尾晃康が責任を持って担当します。
担当医が変わらないため、経過を共有しやすく、前回からの変化やご希望の細かなニュアンスも踏まえた治療計画が立てやすくなります。
「毎回違う先生で不安」「前に伝えたことがうまく伝わっていない気がする」といったストレスを減らし、長く通える歯科医院を目指しています。
このような症状はありませんか?
根管治療が必要になる主なサイン
次のような症状は、歯の神経まで炎症が進行しているサインかもしれません。
・何も何もしなくてもズキズキ痛む
・温かいもの・冷たいものがしみて、その後も痛みが続く
・噛むと強く痛む、違和感がある
・歯ぐきが腫れてきた、押すと痛い
・歯ぐきから膿が出てくることがある
・以前治療した歯が、再び痛み出した
これらの症状があるからといって、必ずしも根管治療が必要になるとは限りませんが、放置してよくなることはほとんどありません。
大田区や近隣エリアでこれらの症状が気になっている方は、早めの受診がおすすめです。
症状が軽いうちに適切な診断・治療を行うことで、抜歯を避けられる可能性も高まります。
なかお歯科医院の根管治療の流れ
1 カウンセリング・診査診断
まず、痛みの有無など患者様の状況をヒアリングし、レントゲン・口腔内写真を撮影しさまざまな検査を行い、虫歯の進行度を確認します。虫歯が神経の管(根管)まで進行していることがわかった場合、根管治療の検討が必要となります。必要であればアニメーションを用いてご説明します。過去の治療でなかなか治らなかった患者様にはCTの撮影も行います。痛みが強い場合にはお薬のお渡しも可能です。院内の予約状況によっては即日の治療が可能な場合もございます。また、当日の治療が難しい場合は後日治療のご予約をお取りいただきます。

2清掃・洗浄・消毒
詰め物などを取り除いて感染した虫歯をきれいに取り除き、歯髄を根の先まで綺麗に取り除きます。また以前に治療して封鎖していた薬剤を丁寧に根の先まで取り除きます。これによって根管内を清掃洗浄します。
-


3根管清掃
※過去に治療していた場合や根が複雑な状態根の先の膿がなかなか除去できない場合は後日(炎症の経過を見るため一週間ほど)清掃・洗浄・消毒を何度か繰り返し行う場合があります。
根管治療では1回のお時間を長めにいただいています。 

4根管充填と被せ物(クラウン)の装着と、治療後の経過観察
根管の中をしっかり密閉し、炎症が落ち着いたのち、上から被せ物(クラウン)で歯を補強します。 被せ物の素材は、お口の状態や噛み合わせ、見た目のご希望、ご予算などに応じてご提案いたします。
治療が終わった後も、定期的な検診やレントゲン撮影で根の状態を確認し、異常がないかをチェックしていきます。
根管治療に関するよくあるご質問(Q&A)
Q. 根管治療は痛いですか?
治療中は、局所麻酔をしっかり効かせてから処置を行いますので、多くの方は「思ったより痛くなかった」とおっしゃいます。 なかお歯科医院では、表面麻酔や電動麻酔器を併用し、麻酔を打つ際の痛みにも配慮しています。治療後に鈍い痛みや違和感が出ることはあります。通常は数日〜1週間ほどで落ち着いていきます。
Q. 通院回数はどのくらい必要ですか?
歯の状態や根の形、炎症の強さ、再治療かどうかなどによって大きく変わりますが、一般的には数回の通院が必要になることが多いです。
感染が強い場合や根の形が複雑な場合には、洗浄・消毒を何度か繰り返すため、回数が増えることがあります。
Q. 一度根管治療をした歯が、また痛くなることはありますか?
根管治療は細い管の中の処置のため、さまざまな理由で再発することがあります。
その場合は「再根管治療」といって、以前の薬剤を取り除き、再度清掃・消毒・充填を行う必要があります。
なかお歯科医院では、歯科用CTやマイクロスコープ、ニッケルチタンファイルを活用することで、再治療にも対応できる体制を整えています。まずは現在の状態を詳しく検査し、考えられる選択肢をご説明いたします。
Q. 抜歯と根管治療、どちらが良いのでしょうか?
歯の残り方や感染の範囲、歯の割れ具合、全身状態などをふまえて判断する必要があります。
歯を残せる可能性がある場合には、まず根管治療を検討することが多いですが、どうしても保存が難しい場合には、抜歯をおすすめすることもあります。
どちらの場合も、メリット・デメリットや今後の治療の選択肢(ブリッジ・入れ歯・インプラントなど)について丁寧にご説明し、患者様と一緒に方針を決めていきます。
Q. 治療後はすぐに食事はとれますか?
麻酔が切れた後であれば可能です。ただし、根の先の炎症が取れるまで1週間は治療をした歯で必ずものは噛まないようにしてください。詳しくは治療前の説明でお話しさせていただきます。
根管治療後に歯を長持ちさせるために
メンテナンスと日々のセルフケアが重要です
根管治療によって痛みが治まり、被せ物が入ると、「これで終わり」と思われる方も多いのですが、実はここからのケアがとても大切です。
- 根の先に炎症が再び起きていないか
- 歯ぐきや骨の状態が健康に保たれているか
- 被せ物や噛み合わせにトラブルが出ていないか
といった点を確認するため、定期的な検診・クリーニングをおすすめしています。
また、ご自宅での歯みがきも重要です。磨き残しが増えると、被せ物の周りから再び虫歯や歯周病が進行し、せっかく根管治療で残した歯を失ってしまうリスクが高まります。
なかお歯科医院では、患者様一人ひとりのお口の状態に合わせたブラッシング指導やケアグッズのご提案も行っています。「どんな歯ブラシが合うのか分からない」「フロスや歯間ブラシの使い方が難しい」と感じている方も、遠慮なくご相談ください。
大田区で根管治療をご検討の方へ
まずは一度ご相談ください
根管治療は、単に「神経を取る治療」ではなく、ご自身の歯をできるだけ長く残すための大切なステップです。
痛みが出ているときはもちろん、「以前治療した歯が何となく違和感がある」「レントゲンで根の先に影があると言われた」など、気になることがあれば早めのご相談をおすすめします。
なかお歯科医院は、
- 東急多摩川線「下丸子駅」から徒歩1分
- 大田区下丸子3丁目
- 平日は夕方まで、土曜も診療
と、通院しやすい環境を整えています。
大田区で根管治療の歯科医院をお探しの方へ。
「できるだけ歯を残したい」「説明をしっかり聞いて納得してから治療を受けたい」という方は、どうぞお気軽に、なかお歯科医院までお問い合わせください。